Клинические изображения
Технология реконструкции сверхвысокого разрешения для компьютерной томографии на основе глубокого обучения
Преодолейте проблемы визуализации коронарных артерий в стентах и сильно кальцифицированных сосудах, объединив мощность однократного сердечного ритма и улучшенную резкость изображения с помощью искусственного интеллекта с PIQE. Реконструкция глубокого обучения со сверхвысоким разрешением PIQE обеспечивает четкие изображения сердца без ущерба для шума, временного разрешения или дозы.
Precise IQ Engine (PIQE)
PIQE обеспечивает улучшенное пространственное разрешение и снижение шума на 45%* для улучшения визуализации в стенте с четким изображением просвета сосуда для оценки неоинтимальной гиперплазии и рестеноза в стенте. Высокая контрастность по сравнению с шумовыми свойствами исследований PIQE также обеспечивает лучшую оценку в сильно кальцифицированных коронарных артериях без потери низкоконтрастной обнаруживаемости* — и эти преимущества обеспечиваются без дополнительной дозы.
Надежные для всех пациентов исследования One beat CTA с PIQE предлагают:
- более четкие анатомические детали,
- уменьшение засветов кальция,
- без дополнительной дозы,
- изофазная однородность.
*по сравнению с AIDR 3D
Фильтр SilverBeam
SilverBeam, энергетический фильтр, формирующий луч, использует свойства серебра по ослаблению фотонов для выборочного удаления фотонов низкой энергии из полихроматического рентгеновского луча, оставляя энергетический спектр, оптимизированный для скрининга рака легких.
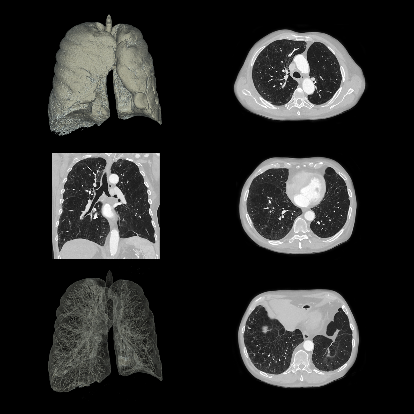
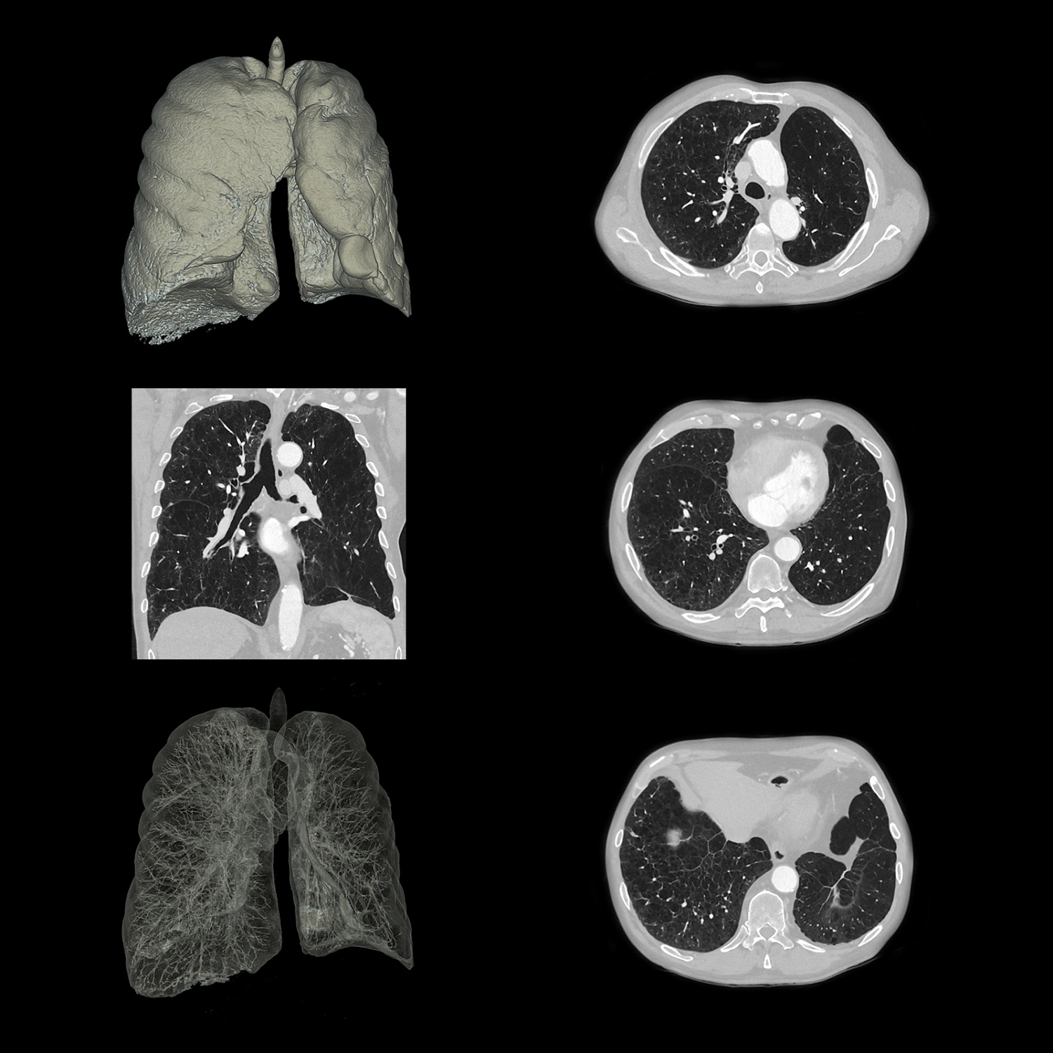
КТ-скрининг рака легких при уровнях доз, приближающихся к обычной рентгенографии
Разработанный для работы в сочетании с AiCE, SilverBeam предоставляет улучшенные, высококачественные, малошумящие КТ-снимки скрининга рака легких при дозе облучения порядка типичного рентгенологического исследования грудной клетки.
SilverBeam с AiCE можно использовать для надежной организации службы скрининга рака легких в вашей больнице.
Расширенный интеллектуальный модуль Clear-IQ Engine (AiCE)
КТ-реконструкция, в которой используются инновации глубокого обучения, чтобы соответствовать пространственному разрешению и малошумным свойствам усовершенствованных итеративных реконструкций на основе моделей для получения высококачественных изображений без ущерба для скорости или дозы.
- Малый шум
- Естественная текстура изображения
- Четкое высококонтрастное разрешение
- Четкая низкоконтрастная детектируемость
Спектральная визуализация с глубоким обучением
Система Deep Learning Spectral CT от Canon Medical была разработана, чтобы вывести ваши возможности визуализации на совершенно новый уровень.
Aquilion ONE (PRISM Edition) использует временные преимущества быстрого переключения кВ с модуляцией мА для конкретного пациента и сочетает их с реконструкцией глубокого обучения, которая обеспечивает превосходное разделение энергии и низкий уровень шума.



