Клинические изображения
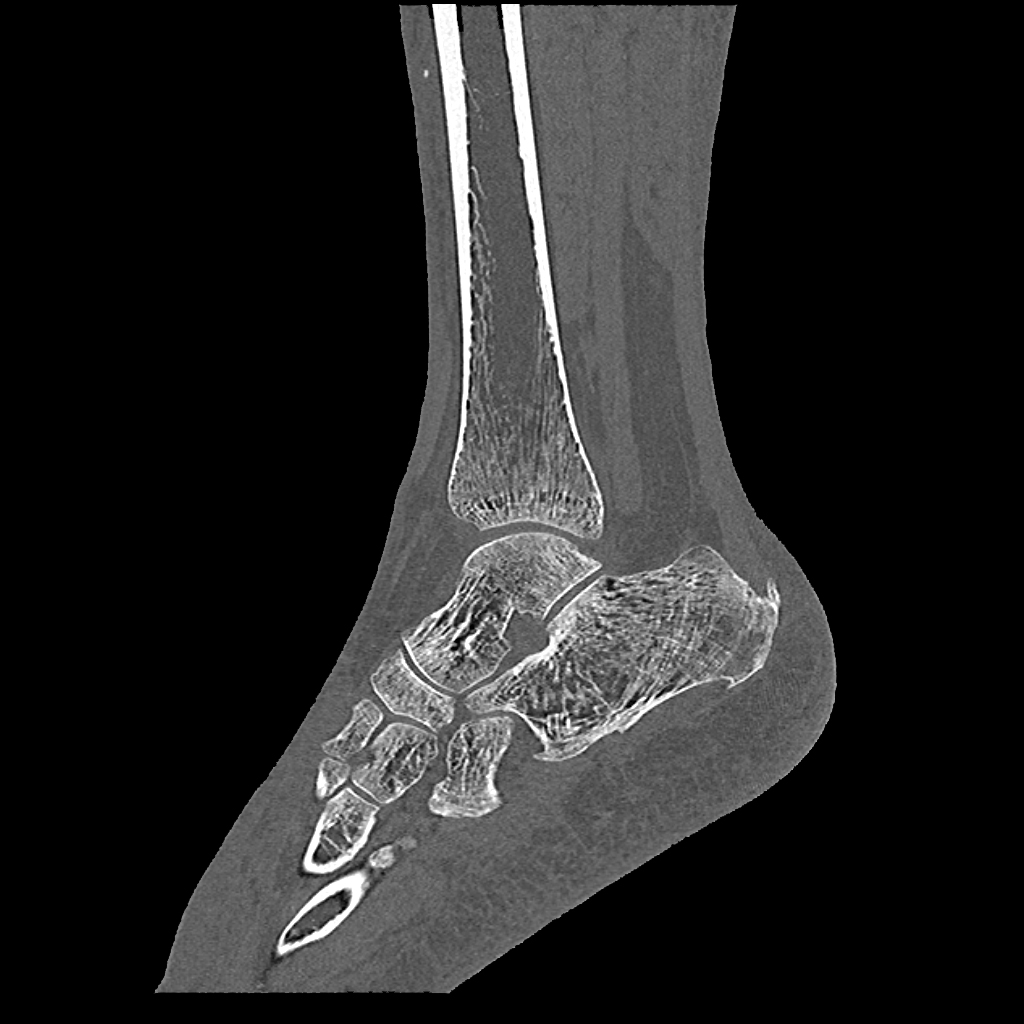
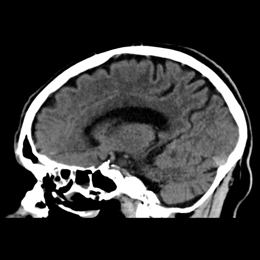
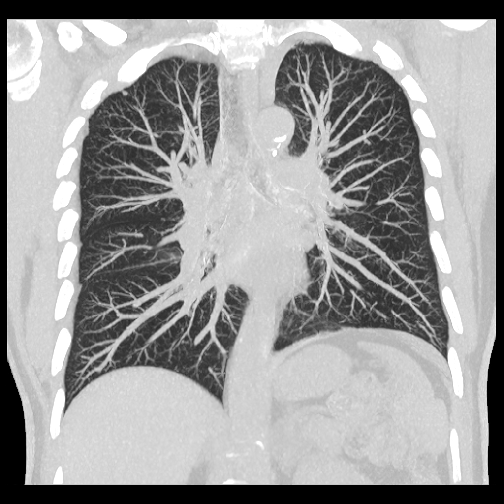
Добро пожаловать в эпоху компьютерной томографии с поддержкой алгоритмов глубокого обучения
Усовершенствованный интеллектуальный алгоритм Advanced intelligent Clear-IQ Engine (AiCE)
Технология AiCE — это инновационный подход к реконструкции КТ-изображений на основе алгоритмов глубокого обучения, который способствует снижению уровня шума, усилению сигнала для получения контрастных, четких и детализированных изображений.
Широкие клинические возможности
Компьютерный томограф Aquilion Prime SP разработан для выполнения клинических задач при проведении как рутинных, так и специализированных исследований, при этом новые стандарты качества визуализации применяются для всех групп пациентов при адекватной лучевой нагрузке. Обширный ряд интегрированных инструментов обеспечивает легкое и быстрое внедрение современных экспертных исследований в вашу клиническую практику. Компьютерный томограф Aquilion Prime SP позволяет автоматизировать сложные исследования, предоставляя высококачественные данные.
Высокая производительность
Предустановленные и автоматизированные функции компьютерного томографа Aquilion Prime SP упростят рабочий процесс и позволят решать даже самые сложные задачи не только опытному персоналу, но и начинающим специалистам. Благодаря автоматизации контроля лучевой нагрузки, сканированию с помощью технологии vHP3 и автоматической обработке изображений компьютерный томограф Aquilion Prime SP станет важной частью вашего отделения лучевой диагностики.
Защита инвестиций
Компьютерный томограф Aquilion Prime SP является экономически эффективным выбором, начиная с момента установки и заканчивая расширением возможностей отделения. Он имеет все функции, необходимые компьютерному томографу для работы в условиях высокой загруженности отделения, обеспечения безопасности пациентов и рентген-лаборантов, а также расширения возможностей визуализации ЛПУ и повышения его продуктивности.



