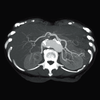
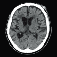
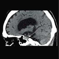
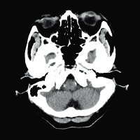
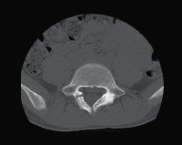
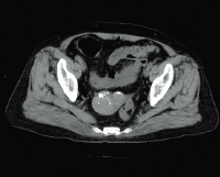
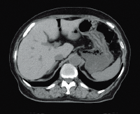
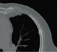
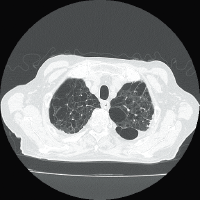
Клинические изображения
Компьютерный томограф Supria создан и производится в Японии фирмой Fujifilm.
Supria 32 рассчитан на сканирование всего тела с реконструкцией 32 срезов по данным, собранным за 1 оборот.
Большая апертура 75 см, малая толщина гентри, длинный стол с допустимой нагрузкой 227 кг с широкой верхней декой 47,5 см и большой диапазон вертикального перемещения дают комфорт пациенту и персоналу при позиционировании и проведении исследований. Длина сканирования с использованием удлинителя стола составляет 180 см, что разрешает выбрать оптимальное размещение пациента для сканирования необходимого региона.
При создании КТ Supria был учтён опыт эксплуатации всех томографов, и были выбраны оптимальные технические параметры для выполнения диагностических задач, без приоритета для кардиологических исследований. Однако, при необходимости, можно использовать специальное дополнение для синхронизации по ЭКГ для проведения кардиологических исследований.
Генератор позволяет сделать оптимальный выбор кВ (80, 100, 120, 140) и мА (от 10 до 400 мА) для создания большого количества специальных протоколов.
Для снижения лучевой нагрузки и повышения качества визуализации в КТ SUPRIA используются алгоритм интеллектуального перераспределения дозы IntelliEC и современный метод итерации IntelliIP, позволяющие провести сканирование с очень низкими значениями доз и получить изображения необходимого диагностического качества. В результате лучевая нагрузка на исследуемую область существенно снижается при сохранении высокого качества визуализации, особенно на уровне плотных паренхиматозных органов.
Специальная программа HIMAR для подавления влияния на изображения включений с большим КТ числом даёт возможность визуализировать области и ткани, прилежащие к металлическим объектам, например имплантам.
Программа Orbital Sync. орбитальной синхронизации позволяет использовать одну и ту же орбиту для различных операций по сбору данных при спиральном сканировании.
Опыт эксплуатации КТ Supria показывает очень высокую надёжность системы. Продуманная конструкция системы в сочетании с оригинальным программным обеспечением даёт возможность получить изображения высокого качества при минимально возможных нагрузках, что обеспечивает длительную работу всех систем компьютерного томографа без отказа с относительно небольшими затратами на техническое обслуживание.



