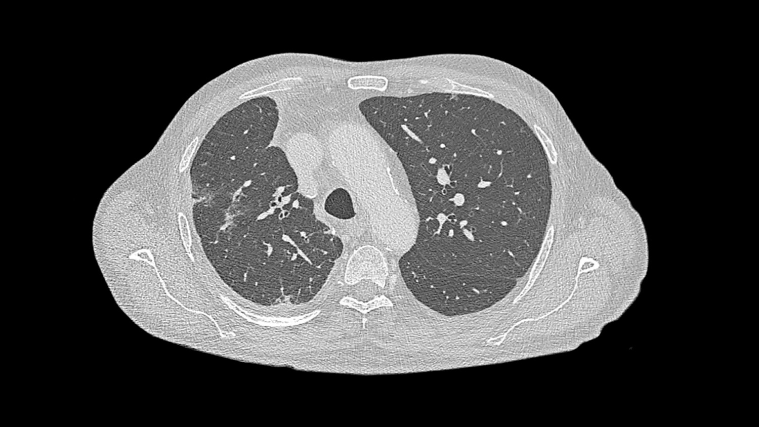
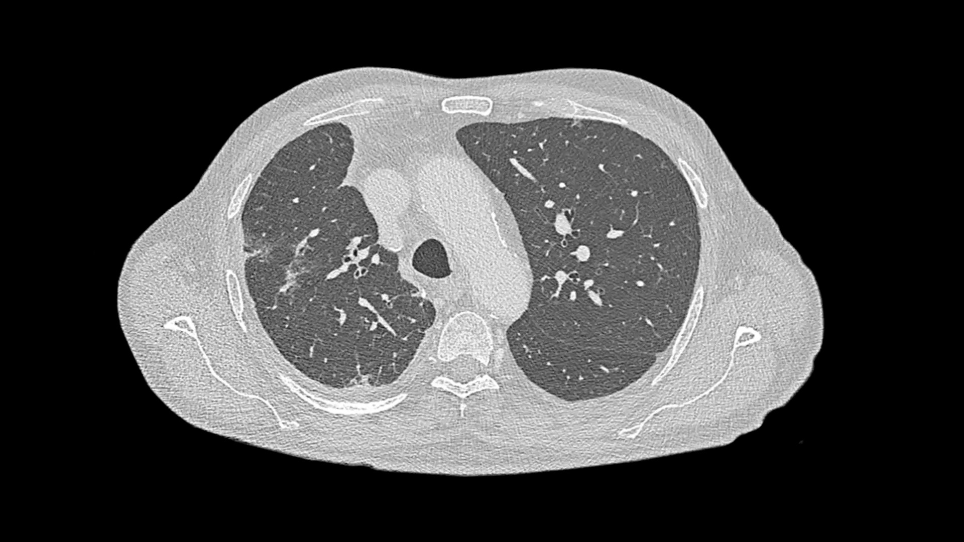
Клинические изображения
NAEOTOM Alpha с квантовой технологией знаменует начало новой эры в КТ. Невиданная ранее технология призвана помочь в принятии клинических решений для большего числа пациентов.
• Впечатляющие детали. Раскрыто.
Дополнительный уровень детализации при минимальной дозе.
• Досягаемость пациентов. Разблокировано.
Уверенное обследование пациентов, ранее исключенных из КТ.
• Значимые ответы. Бескомпромиссный.
Высокодетализированная функциональная визуализация при максимальной скорости сканирования.
• Постоянная точность. Неизменный.
Стандартизированные результаты для более последовательного наблюдения.
• Интуитивное управление. Несложный.
Проверенные удобные функции для всесторонней поддержки и руководства системой.
Что такое КТ с подсчетом фотонов?
В основе NAEOTOM Alpha ® лежит радикально новый детектор. Детектор QuantaMax напрямую преобразует рентгеновские лучи в электрический сигнал, который затем используется для создания изображения. Измеряется энергия каждого рентгеновского луча, поэтому спектральная информация доступна для каждого сканирования, а изображения получаются контрастными и с высоким пространственным разрешением при той же дозе. Сочетание высокого пространственного разрешения детектора подсчета фотонов QuantaMax с временным разрешением двойного источника позволяет визуализировать мелкие детали для повышения достоверности диагностики.
Особенности и преимущества NAEOTOM Alpha
Клиническая эффективность
Внедрение квантовой технологии в рутинный КТ-сканер позволяет совершить клинические прорывы, недостижимые с помощью традиционной КТ-технологии, и обеспечивает высокую диагностическую достоверность, необходимую для принятия решений.
Квантовый HD для кардиологии
Сканирование сердца возможно при толщине среза до 0,2 мм. В сочетании с превосходным временным разрешением 66 мс и низким показателем дозы сканирования теперь позволяет выявить впечатляющие детали коронарных сосудов.
Квантовая спектральная визуализация
Получайте спектральные карты при каждом сканировании, независимо от скорости сканирования, поля обзора или пространственного разрешения. Это обеспечивает точную функциональную оценку без каких-либо компромиссов.
Квантовая итерационная реконструкция
Обеспечьте оптимальное качество изображения и снижение уровня шума с помощью итеративной реконструкции спектральных данных на основе моделей с полной синхронизацией между потоками данных и с высокой и низкой энергией.
Ключевые технологии
NAEOTOM Alpha с квантовой технологией — это новое изобретение компьютерной томографии, предлагающее радикально новый способ получения клинических результатов. Он включает в себя инновационные технологии, призванные преодолеть ограничения обычных компьютерных томографов.
Прецизионные детекторы QuantaMax
QuantaMax, первый детектор фотонов, преодолевает ограничения традиционных детекторов КТ, предоставляя данные с высоким пространственным разрешением, без электронного шума и с улучшенным соотношением контраст/шум.
Полная рентгеновская мощность Vectron
Рентгеновская трубка Vectron обеспечивает высокое качество изображения даже для пациентов с высоким ИМТ. Микрофокальное пятно (0,4 x 0,5 мм) позволяет использовать высокое пространственное разрешение детекторов QuantaMax.
Непревзойденная скорость двойного источника
Уникальная технология Dual Source обеспечивает собственное временное разрешение 66 мс и скорость сканирования до 74 см/с, что позволяет решать даже самые сложные задачи визуализации.
Пользовательский опыт
NAEOTOM Alpha был разработан для клинических пользователей. Система поддерживает и направляет пользователей на протяжении всего сканирования, а решения с поддержкой искусственного интеллекта помогают рентгенологам при чтении клинических случаев.
MyExam Companion
myExam Companion поддерживает эффективную работу сканера, стабильные результаты и индивидуальный подход к пациентам. Он подходит для пользователей всех уровней квалификации, работающих с различными группами пациентов и учреждениями с различным уровнем пропускной способности.
Автоматизированные технологии GО
Технологии GO, доступные через планшет или рабочую станцию, представляют собой набор технологий, которые стандартизируют и упрощают все процессы в отделении — от настройки пациента до распространения изображений, архивирования и считывания.
Быстрая 3D-камера
Камера FAST 3D предлагает стандартизированное изоцентрическое позиционирование пациента, фиксируя форму, положение и рост пациента в трех измерениях, что позволяет оптимизировать дозу облучения органов и улучшить качество изображения.



