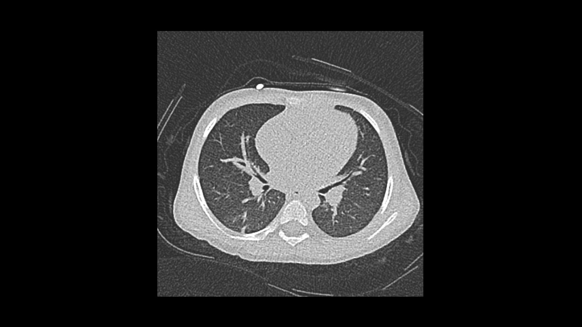
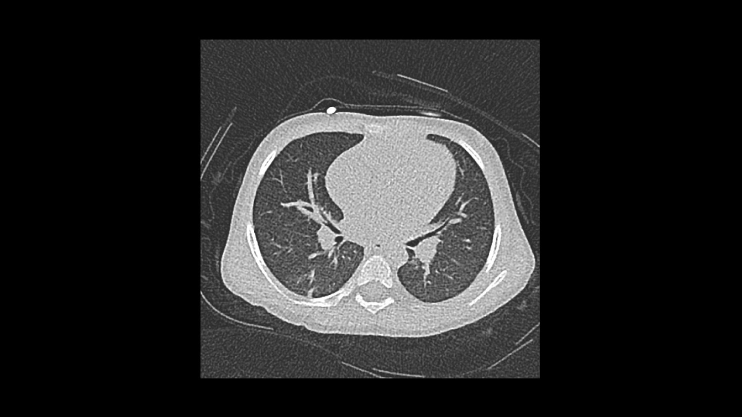
Клинические изображения
Два шага вперед в профилактике заболеваний: чем меньше кВ, тем выше безопасность.
Шаг 1. Сканирование безопасное для почек
До 20% пациентов, направляемых в отделение лучевой диагностики, страдают от почечной недостаточности. Система компьютерной томографии SOMATOM® Force позволяет выполнять исследования даже взрослых пациентов с уровнем напряжения на трубке 70–90 кВ, что позволяет значительно снизить объем контрастного вещества. Тем самым оптимизируется вся клиническая процедура. Преимущества очевидны: не требуется подготовка или премедикация перед КТ исследованием, а так же наблюдение за пациентом после исследования. Благодаря этому существенно улучшаются клинические результаты и экономятся средства учреждения.
Шаг 2. Раннее выявление заболеваний при низкой лучевой нагрузке
SOMATOM Force позволяет снизить дозу облучения на величину до 50% по сравнению с современным уровнем, характерным для ведущих КТ систем. В сочетании с превосходным пространственным разрешением изображений, исключительной контрастностью мягких тканей и высокой скоростью, это помогает улучшить выявляемость клинически не идентифицируемых патологических изменений, в том числе в легких и толстой кишке.
Два шага вперед в борьбе с артефактами движения: меньше осложнений, больше пациентов.
Шаг 1. КТ на «свободном дыхании»
Ограничение движения снижает количество артефактов и, таким образом, повышается качество изображений. Однако значительное число пациентов просто не в состоянии задержать дыхание на нужное время — к ним относятся тучные, пожилые и неконтактные пациенты, а также дети младшего возраста. Раньше таких пациентов либо не направляли на КТ, либо им проводили седацию. В противном случае сканирование не давало результатов, необходимых для постановки диагноза. Система SOMATOM Force отличается самым высоким временным разрешением в отрасли, которое составляет 66 мс при времени оборота гентри 0,25 секунды. Это помогает минимизировать артефакты движения даже в самых сложных случаях.
Шаг 2. Самое быстрое и универсальное сканирование
Режим Turbo Flash расширяет возможности технологии Flash Spiral, позволяя сканировать с уникально высокой скоростью 737 мм/с. Томограф SOMATOM Force предоставляет все преимущества технологии Flash для тучных пациентов и пациентов в тяжелом состоянии, что может способствовать снижению количества протоколов сканирования и сокращению времени подготовки к исследованию. Таким образом, SOMATOM Force – это лучший вариант для работы в рутинной практике, особенно в ночные смены и в отделениях неотложной помощи.
Два шага вперед в принятии решений: точные результаты, точные диагнозы
Шаг 1. 4D-визуализация при сниженной вдвое дозе облучения
Несмотря на явные преимущества динамических исследований, применяемая в них доза излучения служит существенным препятствием для более широкого распространения этих методов, особенно для оценки перфузии внутренних органов. SOMATOM Force позволяет существенно снизить барьер лучевой нагрузки не только за счет расширения охвата до 22 см в перфузионных исследованиях (и до 80 см при КТА), но и путем снижения дозы облучения на величину до 50% по сравнению с тем уровнем, который характерен для ведущих КТ-систем. Теперь перфузионные исследования, например печени, можно проводить с дозой облучения сравнимой с дозой обычных многофазных исследований.
Шаг 2. Точный количественный анализ с двумя уровнями энергии
SOMATOM Force значительно увеличивает чувствительность и специфичность при сканировании с двумя уровнями энергии рентгеновского излучения, позволяя использовать на 30% более высокий уровень разделения по энергии. Кроме того, этот тип сканирования теперь можно выполнять со скоростью до 258 мм/с, благодаря чему для тучных и неотложных пациентов становятся возможными исследования, позволяющие более точно дифференцировать ткани при онкологических и сердечно-сосудистых заболеваниях.
Клиническое применение
Исследования с низкой лучевой нагрузке без компромиссов качеству изображений - SOMATOM Force получает изображения с высокой скоростью и индивидуально подобранной дозой для каждого пациента, в том числе и в 4D.
Бескомпромиссная двухэнергетическая визуализация Dual Energy
С несколькими различными комбинациями пар энергий и нашей уникальной технологией Tin Filter Вы получите новый уровень энергетического разделения тканей в режиме «двух энергий» для абсолютной диагностической точности.
Расширенная до 80 см динамическая КТ ангиография
Проводите функциональные исследования, такие как перфузия тела и динамическая КТ ангиография ультрадлинных диапазонов при низкой лучевой нагрузке.
Низкодозовая визуализация на свободном дыханииFree-breathing and ultra-low-dose imaging
SOMATOM Force минимизирует артефакты движения за счет уникального временного разрешения. Не требуется задержка дыхания, пациенты дышат свободно.
Динамическая перфузия сердца
Koen Nieman, MD PhD, Erasmus Medical Center, Роттердам, Нидерланды рассказывает как проводится динамическая перфузия сердца.
Технические особенности
Новая мощная трубка Vectron
Система SOMATOM Force генерирует 2 рентгеновских пучка с анодным током до 1300 мА, используя два генератора мощность 120 кВт и две рентгеновские трубки Vectron с прямым охлаждением анода. Напряжение трубки автоматически регулируется приложениями CARE kV в диапазоне 70–150 кВ с шагом 10 кВ в соответствии с состоянием пациента и типом исследования. Эти уникальные характеристики позволяют использовать низкие значения напряжения трубки (от 70 до 90 кВ) для более широкого круга пациентов, включая пациентов с избыточной массой тела. Полностью модернизированная избирательная квантовая экранировка упрощают фильтрацию спектра рентгеновского излучения, позволяя выполнять ее на значительно более высоком уровне, чем раньше. Кроме того, для трубки Vectron была модернизирована функция плавающего фокусного пятна в технологии z-Sharp. За счет точного и быстрого отклонения электронного пучка создается два фокусных пятна, которые попеременно меняются с частотой 4480/с, позволяя таким образом существенно увеличить разрешение в плоскости. Благодаря этому, а также малому размеру фокуса 0,4 x 0,5 мм трубка Vectron обеспечивает превосходное пространственное разрешение до 0,22 пар линий/см (эквивалент 24 мм) для широкого круга ежедневных исследований без увеличения дозы облучения.
Фильтры из олова
За счет внедрения фильтров из олова появилась возможность использования низких значений напряжения в трубке Vectron в сочетании с усиленной фильтрацией рентгеновского излучения с помощью технологии Selective Photon Shield, это позволяет улучшить отношение сигнал/шум (SNR) на границе воздуха и мягких тканей. Возможность снижения дозы на величину до 50% при проведении КТ легких и толстой кишки устанавливает новый стандарт исследований асимптоматичных пациентов из группы высокого риска. Превосходный резерв мощности томографа SOMATOM Force позволяет поддерживать высокие значения SNR при низких значениях напряжения трубки для взрослых пациентов и пациентов с избыточной массой тела. Это означает, что рентгенолог может сохранить уровень концентрации контраста, снизив при этом дозу, или, наоборот, снизить концентрацию контрастного вещества при той же лучевой нагрузке. Компания Siemens первой предложила сканирование с низкой дозой сначала при 80 кВ, а затем и при 70 кВ, и сегодня она продолжает расширять границы возможного в компьютерной томографии.
Новое поколение КТ с двумя рентгеновскими трубками
Благодаря уникальному гентри с двумя рентгеновскими трубками столу для пациента, рассчитанному на сканирование с высоким значением питча, система SOMATOM Force способна выполнять КТ-сканирование с уникально высокой скоростью сбора данных и разрешением по времени. Высочайшая скорость вращения гентри с временем одного оборота 0,25 с в сочетании с 50%-м увеличением зоны охвата детектора и сверхбольшим питчем помогает обеспечить временное разрешение 66 мс и скорость сбора данных до 730 мм/с. Впервые КТ-сканирование можно выполнить с полным полем обзора 50 см при скорости сканирования около 40 см/с. Этот уникальный режим спирального сканирования, Turbo Flash, позволяет использовать технологию Flash для более широкого круга пациентов. На сегодняшний день это самый быстрый и наиболее универсальный режим сканирования в отрасли.
Самая высокая скорость сбора данных в отрасли
SOMATOM Force осуществляет сканирование со скоростью вращения 4 оборота в секунду (один оборот за 0,25 секунд). При КТ сердца это позволяет обеспечить разрешение по времени 66 мс – причем вне зависимости от частоты сердечных сокращений. Расширенный охват томографа SOMATOM Force позволяет провести сканирование всего сердца приблизительно за 150 мс, то есть быстрее, чем за одно сердечное сокращение. Более того, высокое временное разрешение обеспечивается по всему полю изображения. Благодаря используемому методу сбора данных никакого искусственного повышения временного разрешения не
При скорости объемного сканирования в 737 мм/с КТ органов грудной клетки и брюшной полости можно выполнить всего за 1 секунду. Возможности гентри и стола для пациента – это не единственные факторы, определяющие эффективность исследования: при сканировании с высоким значением питча также важен уровень мощности. При сканировании тучных пациентов и при быстром сканировании значительного объема следует обеспечить максимальную мощность, чтобы в каждый срез попадал достаточный поток фотонов. Система SOMATOM Force оснащена двумя генераторами мощностью 120 кВт, что делает его идеальным аппаратом для быстрого сканирования больших объемов.
Новый детектор Stellar Infinity
Многие учреждения внедрили 4D-визуализацию головного мозга в качестве стандартного метода исследования больных инсультом. Однако, когда речь заходит о перфузионных исследованиях других органов, пользователи не торопятся использовать этот метод в широкой клинической практике, так как считается, что он по-прежнему связан с высокой лучевой нагрузкой. Благодаря новым детекторам StellarInfinity, которыми оснащен томограф SOMATOM Force, компания Siemens Healthineers позволяет внедрять эти перфузионные методы в ежедневную практику. Два детектора с охватом 96 рядов (2 x 192 среза) обеспечивают диапазон сканирования при перфузионном исследовании до 22 см, то есть позволяют целиком охватить весь орган. Ключевую роль при этом играет новая технология Adaptive Dose Shield (адаптивное экранирование), которая снижает уровень дозы при 4D-визуализации на величину до 50%. Количество каналов в детекторах StellarInfinity увеличено на 25% – благодаря этому они обладают повышенной разрешающей способностью. Вместе с отсеивающим 3D-растром это позволяет снизить дозу излучения на величину до 50%, сохранив превосходное пространственное разрешение и качество изображений.
Новое сочетание уровней энергий
Качество исследований с двумя уровнями энергии зависит от эффективного разделения энергетических спектров. В системе SOMATOM Force используется несколько сочетаний режимов экспозиции и фильтрации: «стандартный» режим 80/140 кВ и новые режимы 80, 90 и 100/150 кВ с оловянным фильтром и квантовой экранировкой SPS II, например для тучных пациентов. Улучшение разделения уровней энергии на 30% означает более точную дифференциацию тканей со схожими характеристиками и, следовательно, повышение чувствительности и специфичности КТ с двумя уровнями энергии. Благодаря разным сочетаниям уровней энергии и новой экранировке SPS II система SOMATOM Force существенно повышает точность и клиническую информативность исследований. Модернизация технологии адаптивного экранировании Adaptive Dose Shield в SOMATOM Force была осуществлена за счет более быстрого перемещения створок коллиматора. Это стало возможным благодаря более быстрой передаче данных по разработанной Siemens уникальной шине SiDaNet. Адаптивное экранирование с быстрым перемещением створок позволяет эффективнее использовать возможности динамического спирального сканирования Adaptive 4D Spiral Plus в перфузионных исследованиях.



