Хороший рабочий процесс — это половина дела, поскольку перерывы в работе могут негативно повлиять как на безопасность пациентов, так и на эффективность операционной. В современных операционных хирургические бригады постоянно выполняют несколько задач в условиях нехватки времени. Воспользуйтесь преимуществами интуитивно понятного использования и универсальных приложений, а также расширенной кибербезопасности. Cios Flow позволяет сразу приступить к работе.
Создан для большего удобства в операционной
Cios Flow предлагает интуитивно понятное использование, малый вес и легкую маневренность, помогая обеспечить оптимальную работу системы независимо от опыта персонала.
- Улучшенная цепочка визуализации матричного детектора с технологией CMOS: интеллектуальные алгоритмы автоматически регулируют яркость и контрастность, обнаруживают движение, улучшают края и оптимизируют визуализацию металла для улучшения изображения окружающих тканей
- SpotAdapt и сенсорные жесты: SpotAdapt автоматически оптимизирует параметры визуализации в соответствии с интересующей анатомией. Сенсорные жесты, как на планшете, позволяют коллимировать, поворачивать и переворачивать изображения, а также использовать преимущества SpotAdapt всего одним пальцем.
- Зеленые лазеры высокой яркости: для улучшения видимости на всех типах кожи и крови – несмотря на яркое операционное освещение.
- Легкая конструкция системы: благодаря бескомпромиссному C-образному дизайну и весу всего 275 кг Cios Flow особенно легко позиционировать и перемещать.
- Беспроводной ножной переключатель: меньше хлопот с оборудованием и больше свободы в операционной.
Универсальность поддерживает использование системы
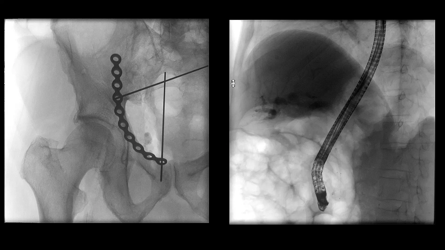
Больницы сталкиваются с ростом стоимости медицинского оборудования, поэтому им необходимо оправдать инвестиции. Cios Flow — это многофункциональная система, которую можно использовать в различных областях — ортопедической и травматологической хирургии, хирургии позвоночника, сосудистой хирургии и т. д. — позволяя повысить эффективность использования своих ресурсов.
Кибербезопасность для защиты данных и доступа
Незащищенные цифровые системы могут служить отправной точкой для кибератак. Cios Flow обеспечивает расширенную кибербезопасность. Это помогает снизить риск взлома вашей больницы, обеспечить безопасность личных данных и защитить ваши финансы и репутацию.
- Доступ и управление пользователями: определение прав для различных групп пользователей – для предотвращения несанкционированного доступа.
- Белый список: ограничьте несанкционированные приложения – чтобы защитить вашу систему обработки изображений.
- Шифрование данных: зашифруйте раздел данных пациента с помощью BitLocker, чтобы защитить данные от кражи.
- Журнал аудита: отслеживайте важные изменения конфигурации — для повышения прозрачности.



