Область применения:
- общая хирургия,
- интервенционная радиология,
- нейрохирургия,
- вертебрология,
- эндоваскулярная хирургия,
- кардиология.
Особенности:
- импульсный генератор высокой мощности 25 кВт,
- рентгеновская трубка с вращающимся анодом,
- система активного жидкостного охлаждения для длительной и беспрерывной работы,
- плоскопанельный CMOS детектор 31×31 см c размером пикселя 100 мкм,
- изоцентрическое вращение штатива вокруг зоны обследования,
- управление джойстиками от стола в моторизированном режиме,
- автоматическое 3D сканирование с реконструкцией и возможностью интраоперационного просмотра MIP изображений,
- синхронизация с системами стереотаксической навигации,
- программный пакет для сосудистой хирургии,
- субтракционная ангиография с применением СО2.
Просмотр и обработка 3D изображений непосредственно в операционной
В ходе проведения рентгенохирургических вмешательств хирург имеет возможность на референтном мониторе рабочей станции осуществлять просмотр и обработку только что полученных 3D изображений, выполнять реконструкцию полученных данных для получения объемных изображений различного разрешения и размера поля, проводить измерения в ортогональных проекциях, выбирать оптимальный угол доступа.
Синхронизация с системами стереотаксической навигации
Возможность оправки 3D изображений на стереотаксические системы Bainlab, Medtronic, Stryker для проведения хирургических вмешательств с использованием нейронавигации с минимальной погрешностью смещения.
Полная моторизация штатива
Vision RFD 3D позволяет оперативно решать задачи любой степени сложности, возникающие в ходе операции. Для этого предусмотрена возможность мгновенного переключения из ручного режима управления в моторизованный.
Изоцентрическое вращение штатива вокруг зоны обследования
В ходе проведения рентгенохирургических вмешательств, которые требуют полипроекционной визуализации, врач может зафиксировать центр области интересе и без изменения высоты операционного стола свободно перемещать штатив в трех плоскостях, при этом зона интереса всегда будет находиться в центре экрана.
Информативность и качество визуального контроля
Vision RFD 3D — первый передвижной рентгеновский аппарат, который обеспечивает изображения, ранее доступные только на стационарных системах. Плоскопанельный детектор формирует поле в 2,5 раза больше, чем усилитель рентгеновского изображения 9″. Увеличивается количество визуальной информации, постоянно доступной врачу на экране монитора с высоким разрешением.
Качество снимков как у стационарных систем
В Vision RFD 3D впервые в мировой практике удалось получить высочайшее качество изображений, сохранив компактность и мобильность конструкции. Система занимает небольшую рабочую площадь, она удобна для использования в небольших помещениях. Дополнительным преимуществом является короткий срок подготовки аппарата к эксплуатации без длительного и сложного монтажа.
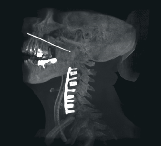
Высокая детализация для сложных операций
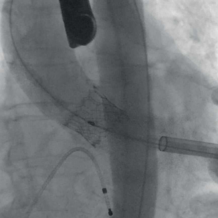
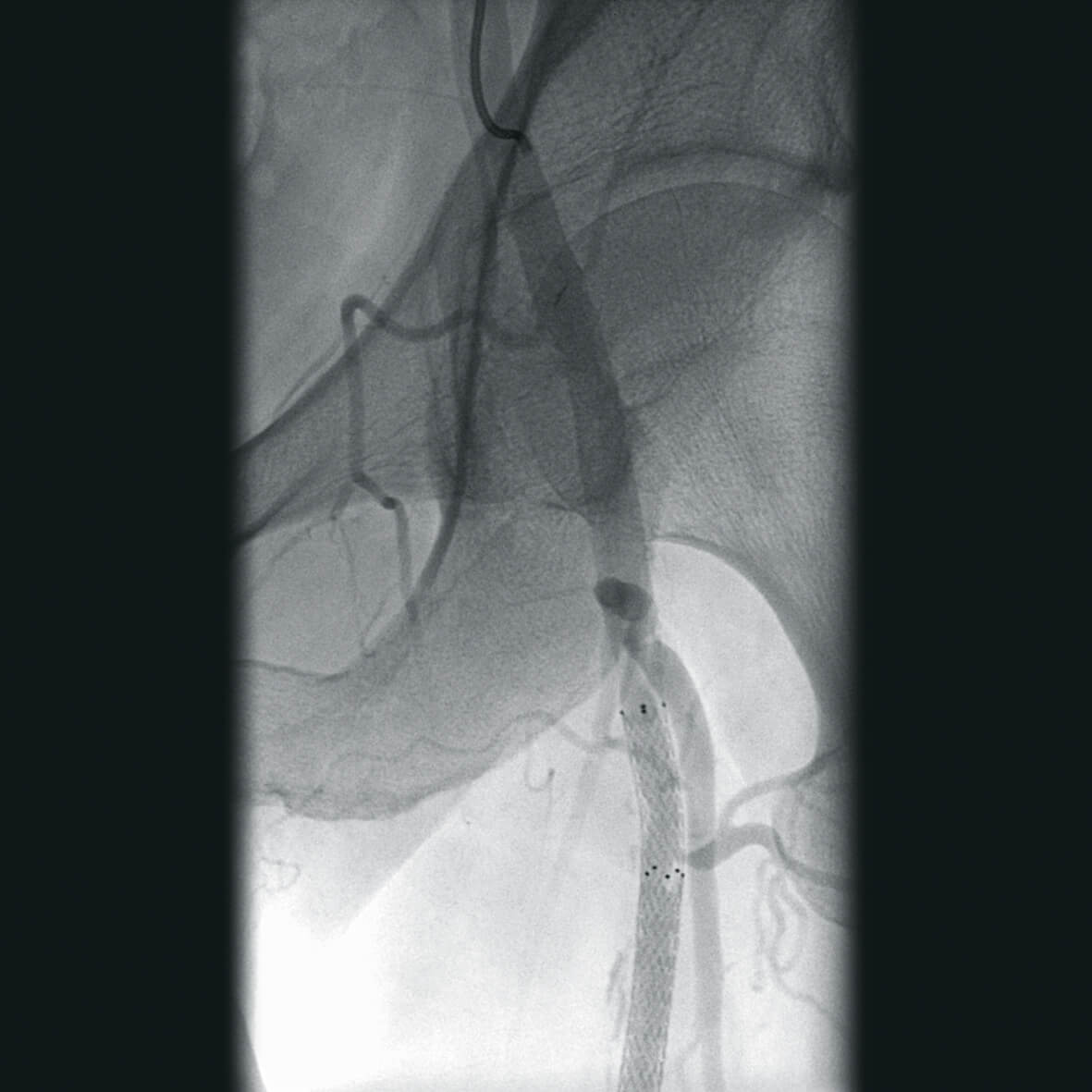
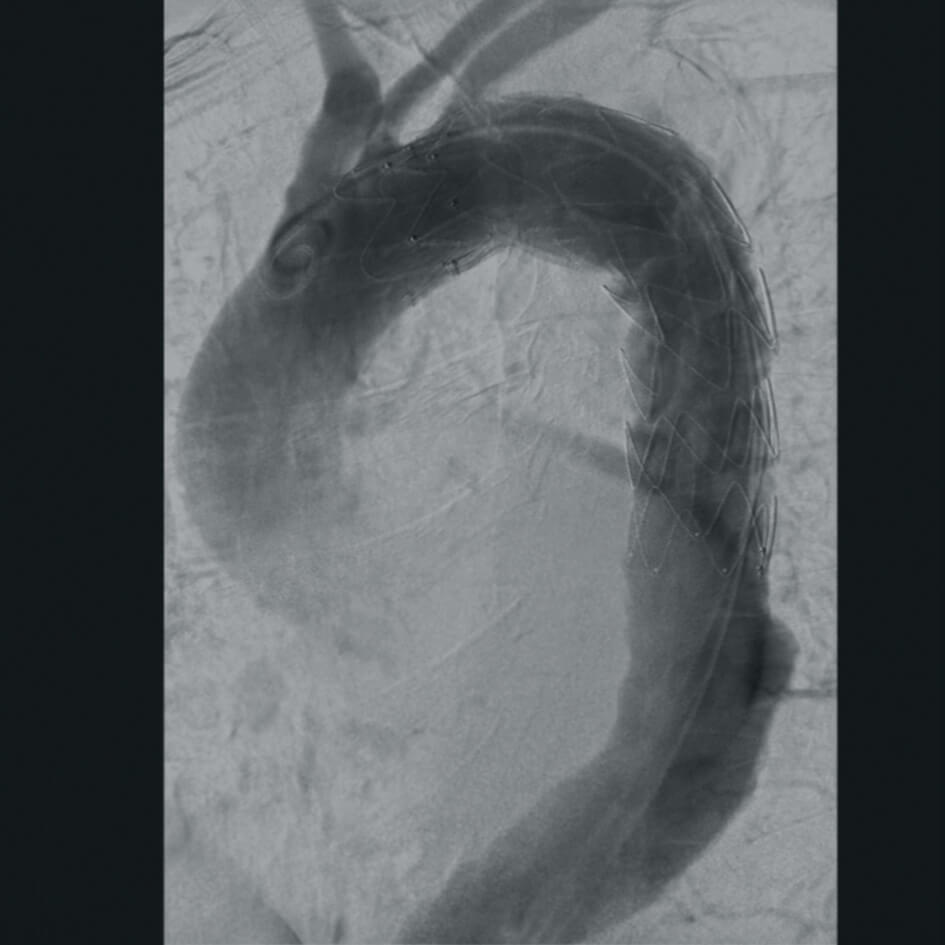
Полное отсутствие искажений снимков в сочетании с высоким динамическим диапазоном широко востребованы как при сложных операциях в нейрохирургии, сосудистой хирургии, инвазивной радиологии, так и в гибридных областях применения, а также в ортопедии, травматологии. В сосудистой хирургии особенно важны высокий динамический диапазон и пространственное разрешение, обеспечивающие детальную визуализацию даже мельчайших сосудов. Специализированное программное обеспечение SmartVascular позволяет проводить настройку системы для васкулярных операций и сосудистой хирургии.
Точная визуализация анатомических деталей, мягких тканей и костных структур обеспечивается за счет светочувствительной матрицы 3kх3k пикселей с высоким динамическим диапазоном.
Импульсный генератор
Впервые в мировой практике в Vision RFD 3D используется невероятно компактный моноблочный генератор для импульсной рентгеноскопии с увеличенной резервной мощностью и вращающимся анодом рентгеновской трубки для улучшения качества изображений при минимальной интенсивности облучения. Продолжительность импульсов можно регулировать в диапазоне от 7 до 40 мс, что существенно повышает четкость снимков. Vision RFD 3D отлично подходит для использования в клинических процедурах типа: чрескожная транслюминальная коронарная ангиопластика или коронарная ангиография.
Стабильность и длительной эксплуатации
Мобильные установки не всегда были достаточно надежны при непрерывной работе во время длительных инвазивных процедур. Для устранения этой проблемы Vision RFD 3D оборудована системой активного жидкостного охлаждения для поддержания оптимальной температуры системы.
Контроль движения
Система контроля частоты импульсов разработана на основе ODDC-ячеек, она оперативно регулирует количество снимков в зависимости от подвижности пациента. Частота импульсов снижается, если пациент неподвижен, но может быть увеличена до максимального значения 25 кадров/с, если в видимом поле фиксируется движение.
Автораспознавание металла
Винты, пластины, импланты и хирургические инструменты автоматически распознаются при попадании в видимое поле аппарата. В этом случае происходит корректировка мощности дозы облучения для улучшения качества снимка.
Просмотр изображения без облучения
Чтобы максимально снизить дозу облучения пациента в конструкции аппарата предусмотрена возможность предварительного просмотра увеличенных изображений PreMag. Эта функция позволяет предварительно отобразить часть снимка в одном из двух режимов увеличения без облучения
Интуитивно понятное управление
С-дуга и мониторная тележка оснащены сенсорными мониторами Vision Center. Синхронная работа которых позволяет управлять аппаратом как с тележки, так и с С-дуги. Интерфейс управления максимально прост и понятен. Программное обеспечение имеет автоматические настройки для работы с различными органами пациента и не требует специальных навыков.
Возможности интеграции
Система обработки данных аппарата может использоваться в комплексе с привычным программным обеспечением. Все данные пациентов могут быть перенесены в формате DICOM 3.0 в систему PACS или HIS/RIS для архивирования или отображения на рабочих станциях врачей и архивированы на СD/DVD или USB-носителях.



