Compressed SPEEDER восстанавливает полноценное изображение на основе данных низкого разрешения путем итеративной реконструкции, что повышает пропускную способность МРТ-аппарата и позволяет увеличить промежуток между обследованиями пациентов, во время которого в случае необходимости можно дезинфицировать сканер. При этом данные пациента хранятся в безопасности благодаря постоянным обновлениям от Microsoft, а также благодаря функции белых списков, которая предоставляет врачам доступ только к необходимым приложениям и процессам.
Compressed Speeder обеспечивает быстрое получение изображения и может предотвращать появление артефактов и ошибок, которые иногда наблюдаются при стандартной параллельной визуализации. Кроме того, он обеспечивает более высокое разрешение при использовании технологии 2D Fast Spin Echo (FSE). Во время длительного сканирования дискомфорт пациента выражается в непроизвольных движениях, которые могут снижать качество изображений, поэтому сокращение продолжительности процедуры не только улучшает впечатления пациента, но и способствует получению более качественных снимков.
Преимущества Compressed Speeder
- Сократите время экзамена до 2,5 раз
- Быстрые обследования — больше времени для ваших пациентов
- Улучшенное разрешение за то же время сканирования
Гибкость скорости с Compressed Speeder
- Помогает повысить производительность за счет сокращения времени сканирования.
- Позволяет исследовать больше пациентов в день.
- Сократить время обследования для пациентов, которые не могут сидеть спокойно в течение стандартного времени обследования
- Может снизить вероятность движения
- Управление дня
- Управлять расписанием и «надстройками», ускоряя экзамены
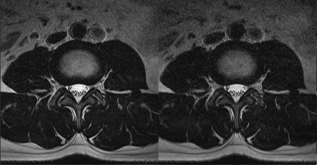
без Compressed Speeder
с помощью Compressed Speeder

Время сканирования 2:48
Время сканирования 1:24
Повысить качество обслуживания пациентов с помощью Compressed SPEEDER
- Сокращение времени сканирования и повышение комфорта пациента
- Может обеспечить более высокое качество изображений за счет уменьшения движений пациента во время более длительных сканирований
- Проводите больше времени с пациентами, меньше времени на сканирование
- Повысить общую удовлетворенность пациентов
- Улучшение общего впечатления от пациента
- В сочетании с MR Theater, Pianissimo и Galan Wide Bore
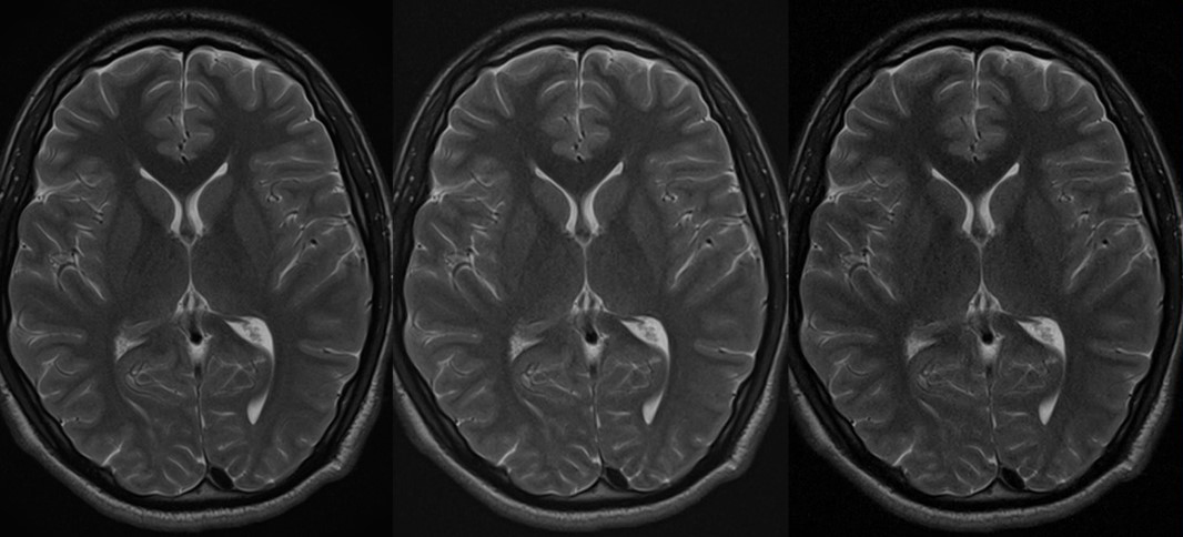
Original
Compressed SPEEDER 2.0
Compressed SPEEDER 2.5

Время сканирования 3:10
Vantage Orian 1.5T
Время сканирования 1:46
Vantage Orian 1.5T
Время сканирования 1:18
Vantage Orian 1.5T
Совместите Compressed SPEEDER с AiCE DLR
- Увеличивайте разрешение за разумное время сканирования
- Улучшено качество изображения
- Повышенная клиническая уверенность
- Гибкость адаптации приобретения к текущей клинической задаче
- Увеличьте скорость или увеличьте отношение сигнал-шум и увеличьте разрешение

Время сканирования 2:00
из Vantage Galan 3T



