ACUSON Juniper — высокопроизводительная УЗ-система для совместного использования, которая способна выполнять различные ультразвуковые исследования с минимальными затратами, обеспечивая при этом высокую надежность диагностики во всех отделениях медицинского учреждения.
Визуализация
Предоставление высококачественной медицинской помощи подразумевает возможность сканирования практически любых пациентов независимо от их телосложения, веса или состояния. Благодаря своей клинической универсальности в сочетании с ведущей технологией эластографии УЗ-система ACUSON Juniper позволяет расширить спектр ультразвуковых исследования практически для всех категорий пациентов и диагностических ситуаций.
B-режим. Высокое контрастное разрешение и однородность изображений — отличное диагностическое качество.
Цветовые допплеровские режимы. Надежность диагностики повышается благодаря высокочувствительному цветовому доплеровскому режиму при снижении артефактов яркости цвета.Специализированные опциональные приложения
Стресс-эхокардиография. Функция стресс-эхокардиографии включает в себя комплекс инструментов и измерений для получения данных о циклах сердечной деятельности на различных этапах стресс-эхокардиографического исследования, просмотра, выборочного сравнения, оценки и архивирования наборов кинопетель с ЭКГ-синхронизацией.
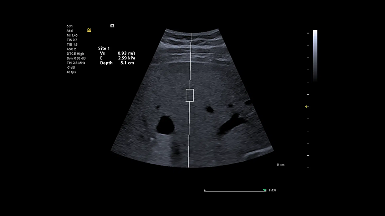
Технология оценки скорости распространения поперечной волны и эластичности в выбранной области интереса (Virtual Touch quantification). Метод измерения скорости поперечных (сдвиговых волн) в режиме реального времени, в котором используются низкочастотные акустические импульсы (ARFI), генерируемые непосредственно ультразвуковым датчиком. Оценка скоростей сдвиговых волн в выбранной врачом зоне интереса коррелирует с показателями жесткости ткани.
Технология качественной визуализации относительной эластичности ткани eSie Touch. Метод качественной и количественной эластографии в режиме реального времени, который позволяет вычислять и отображать на экране относительную жесткость исследуемой ткани. Метод eSie Touch дает возможность сгенерировать эластограмму за счет применения к ткани последовательных циклов мануальной компрессии во время стандартной визуализации в B-режиме.
Векторный анализ кардиомиокинетики (syngo Velocity Vector Imaging). syngo Velocity Vector Imaging поддерживает оценку глобальной и региональной механики движения сердечной мышцы, включая глобальную продольную деформацию.Рабочий процесс
УЗ-система помогает снизить вариабельность результатов в зависимости от врача-диагноста, повысить их точность и улучшить согласованность отчетов с помощью нескольких автоматизированных инструментов.
Малый вес и отличная маневренность.
В среднем система ACUSON Juniper весит на 27% меньше и занимает на 36% меньше места, чем системы этого класса.
Активные порты для подключения датчиков.
Пять активных портов для датчиков и один порт для непрерывно-волнового датчика поддерживают работу с шестнадцатью датчиками, что открывает широкие возможности для сканирования.
Удобная панель управления и сенсорный дисплей с диагональю 13,3 дюйма.
Интеллектуальный пользовательский интерфейс для более быстрой настройки параметров и программ сканирования, а также возможность регулировки высоты рабочей панели, угла ее наклона и программируемые функции клавиш.
Адаптация сканера к любым условиям.
Широкие возможности регулировки положения и высоты сканера для максимальной адаптации его к потребностям врача-диагноста.
Технологии на основе искусственного интеллекта
Программное приложение, использующее методы искусственного интеллекта на основе машинного обучения для достижения требуемого результата.
Технология выполнения измерений левых отделов сердца (eSie Left Heart). Пакет измерений левых отделов сердца eSie Left Heart — это надежный инструмент, который повышает надежность и оптимизирует рабочий процесс благодаря автоматическому определению границ левого желудочка и левого предсердия и выполнению измерений при стандартных трансторакальных исследованиях у взрослых пациентов.
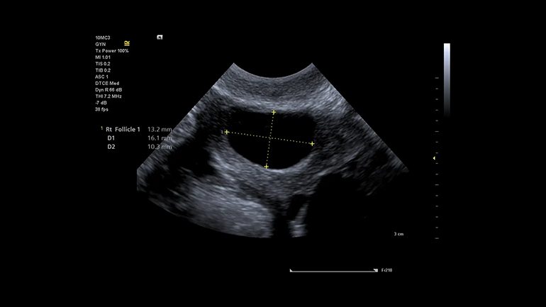
Технология автоматического исследования фолликулов (syngo ® Auto Follicle). В технологии syngo ® Auto Follicle реализован автоматический метод измерений, обеспечивающий быструю и точную оценку фолликулов. Автоматическое выполнение измерений и запись результатов помогают сократить продолжительность исследования.
Автоматизация процесса измерений (eSie Measure). Технологя eSie Measure предназначена для ускорения рабочего процесса благодаря полуавтоматическому выполнению измерений при стандартных эхокардиографических исследованиях, например. Это повышает эффективность работы и согласованность результатов для врачей-диагностов.
Технология автоматического измерения основных биометрических показателей плода (syngo ® Auto OB). syngo ® Auto OB реализован инновационный алгоритм распознавания анатомических ориентиров для шести стандартных измерений плода: CRL — копчико-теменной размер, BPD — бипариетальный размер головы, HL — длина плечевой кости, HC — окружность головы, AC — окружность живота и FL — длина бедренной кости. Благодаря этому все перечисленные измерения можно выполнить автоматически, одним нажатием функциональной кнопки.


