Современная ультразвуковая система оборудована жидкокристаллическим пятнадцатидюймовым LCD экраном и комплексным кардиопакетом. Благодаря малым габаритам, компактному, эргономичному дизайну и небольшой массе данная УЗ-система идеальна для выездов специалиста на дом к больному и транспортировки устройства на дальние расстояния.
Особенности Chison SonoBook 9
- Превосходен при исследовании беременности, кардиологии, сосудистой системы и т. д.
- Лучшая компактная ветеринарная система.
- Интуитивно понятный интерфейс.
- Легко справляется с различными режимами.
- Работает в течение рабочего дня с одним зарядом аккумулятора.
- Весит всего 5,4 кг.
- Определяет сверхнизкую скорость <2 мм/с мелкие сосуды, и высокую скорость> 40 мм/с кардио.
- Изображение поверхностных тканей в пределах <2 мм и более чем на 30 см глубины у крупных животных
- Регулировка уровня звука
- Wi-fi.
Режимы визуализации
Панорамное сканирование
Реконструкция всей поверхности исследования, состоящая из отдельных последовательных кадров. Данный метод позволяет сканировать неподвижные анатомические структуры. Врач с одинаковой скоростью проводит ультразвуковым датчиком по всей зоне интереса (ROI) и получает целостную картинку всего исследуемого объекта.
Многолучевое сканирование
Суммирование данных, полученных от ультразвуковых лучей под различными углами приема-передачи. Данный вид сканирования увеличивает четкость контуров и границ тканей, а также позволяет получить изображение томографического качества.
Опция улучшения визуализации иглы
Данная опция позволяет улучшить изображение при введении иглы в тело пациента. Незаменима при проведении биопсии. Автоматически выделяет интересующую область при инвазивном вмешательстве в зависимости от угла вводы иглы, подавляет шумы при процедуре и ярко выделяет саму иглу, что значительно облегчает работу врача.
Опция получения трехмерного изображения в режиме цветового допплеровского картирования
Данная опция позволяет получать трехмерные изображения в цветном формате. Достигается при использовании 3D/4D датчиками в В-режиме, а затем восстанавливает объемную структуру в режиме ЦДК. Также данный эффект можно получить при работе в режиме Freehand 3D.
Постоянно-волновой допплер
Применяется в эхокардиографии. Позволяет произвести количественную оценку кровотока в сосудах с высокоскоростными потоками.
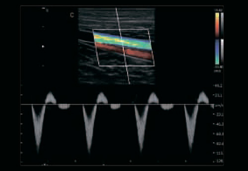
Цветной допплер
Позволяет выделять цветом характер кровотока в ROI (области интереса) Обычно применяется в сердечно-сосудистых исследованиях. Кровяной поток, идущий от датчика, отображается синим цветом, к датчику — красным. Сине-зелено-желтым цветом выделяется турбулентный поток.
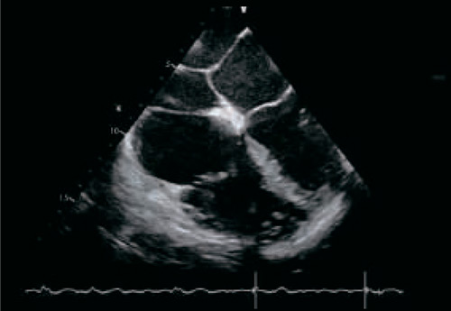
Тканевый допплер
Позволяет оценить сократительную способность миокарда. Обычно применяется совместно с импульсно-волновым допплером (PW). При помощи данного допплера появляется возможность диагностировать ишемию, системные поражения сердца, кардиомиопатии и другие виды сердечно-сосудистых заболеваний
Анатомический М-режим
Анатомический М-режим или Виртуальный М-режим, или Модификация М-режима — это произвольное перемещение и вращение линии среза. При анатомическом М-режиме врач получается возможность вращения курсора под произвольным углом без перемещения датчика. При этом получается графика движения структур сердца в различных произвольных плоскостях. Позволяет делать до 3-х срезов одновременно в реальном времени



