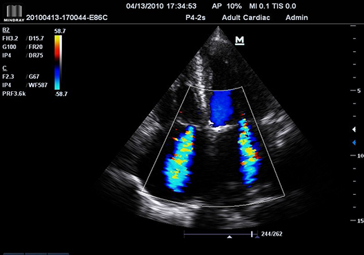
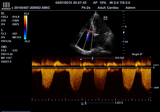
Клинические изображения
Прибор создан в виде ноутбука, с тонким и прочным корпусом, удобной рабочей панелью управления и светодиодным дисплеем. Помимо других функций, он оснащен цветным доплером и совместим с датчиками, сделанными по технологии 3T.
Портативная переносная система цветной допплерографии премиум-класса М7 отличается самой высокой функциональностью. УЗ-сканер M7 Premium оснащен специальным пакетом опций для кардиологических обследований и простым в использовании программным обеспечением для организации рабочего процесса. M7 является идеальным комплексным решением для удовлетворения потребностей кардиологов.
15-дюймовый монитор высокого разрешения позволяет с комфортом работать даже в плохо освещенных помещениях. Небольшой вес и ручка для переноски обеспечивают легкость транспортировки. Наличие аккумуляторной батареи обеспечивает до 2 часов сканирования без подключения к электропитанию.
Технологии и функции Mindray M7 Premium
- THI – визуализация тканевой гармоники;
- TDI – тканевый допплер;
- трехмерная реконструкция методом свободной руки – врач ведет датчик по границе исследуемой области, а сканер реконструирует объемное изображение на основе 2D снимков;
- объемное сканирование в режиме реальном времени;
- iScape – панорамная ультразвуковая визуализация в реальном времени, для изучения крупных областей, не попадающих в одно стандартное изображение;
- CFM – цветное допплеровское картирование, изучение характера кровотока;
- биопсия, технология улучшения видимости иглы;
- компрессионная эластография – оценка эластичности тканей путем цветового кодирования;
- контрастное изображение (только печень)



