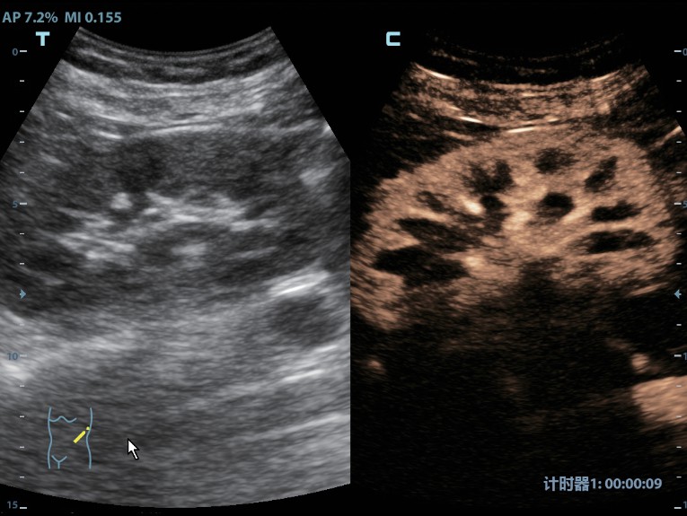
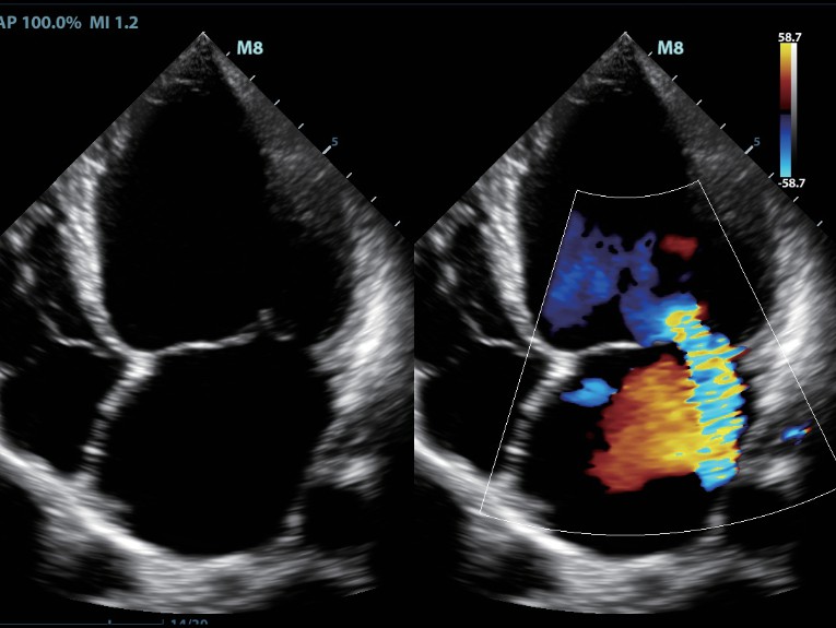
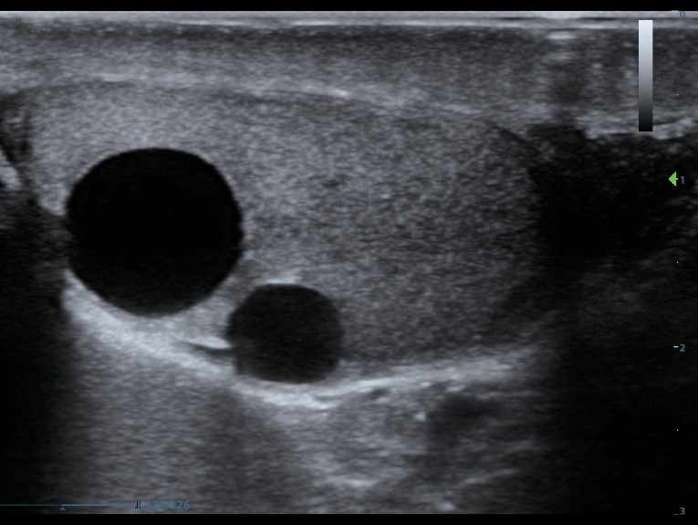
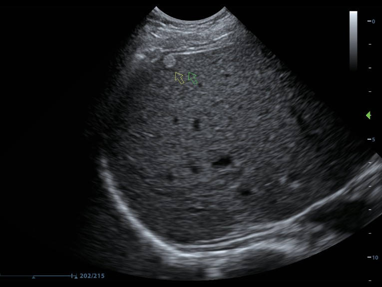
Клинические изображения
Передовые возможности М8
М8 обладает превосходными возможностями визуализации для быстрой и точной диагностики. Разработан на базе мощной платформы mQuadro.
Предоставляет качественные изображения в сочетании с расширенными функциями.
Платформа mQuadro
Включает в себя ведущую в отрасли аппаратную архитектуру, усовершенствованную передачу-прием сигнала, мощную параллельную обработку и интеллектуальный алгоритм.
Технология датчиков 3Т
Датчики с технологией 3Т объединяют в себе трехслойную рабочую поверхность, монокристаллические элементы и материалы, регулирующие термоконтроль. Эта технолдогия оптимизирует акустический спектр и снижает акустический имепеданс, обеспечивая высокое качество изображения с отличной разрешающей способностью и однородностью изображения.
Интенсивная терапия
Возможность проведения быстрых и точных исследованийц делает М8 оптимальным выбором для обследования пациентов в критическом состоянии. Широкий выбор датчиков и полный набор для биопсии удовлетворяют самым взыскательным требованиям в отделении интенсивной терапии.
Неотложная помощь
Благодаря высокой производительности, а также быстрым и точным измерениям, М8 не заменим при принятии немедленных решений по лечению пациентов. Благодаря высокой мобильности, длительному времени автономной работы и пакету предварительных настроек, М8 является идеальным помощником при проведении исследований при чрезвычайных ситуациях.
Портативность
- M8 отличается высокой портативностью и тонким дизайном в стиле ноутбука;
- Рама из магниевого сплава повышает прочность, и обеспечивая при этом легкий вес M8;
- Аппарат можно установить на тележке для использования в клинике или транспортировать в переносном футляре для проведения исследований на выезде;
- Может работать от батареи, обеспечивая до 90 минут сканирования.
В основной блок входят следующие режимы и функции:
Режимы: B/M/CV/Color M/Энергетический допплер/Направленный энергетический допплер
Импульсно-волновой допплер PW (включая режим высокой частоты повторения импульсов HPRF)
iBeam™ (режим многолучевого компаундинга)
iClear™ (адаптивный режим шумоподавления)
PSH™ (Гармоника с фазовой инверсией)
iTouch™ (автоматическая оптимизация изображения)
iZoom™ (Полноэкранный режим ультразвукового изображения)
HDR Flow (Режим отображения кровотока с высоким временным разрешением)
HR Flow (Режим отображения кровотока с высоким пространственным разрешением)
Опционально возможности системы можно расширитрь под самые изысканные требования специалистов.



