Клинические изображения
Благодаря революционной сонографической технологии ZONE, Resona R9 поднимает клинический интеллект на более высокий уровень с помощью комплексного решения. Если вам нужна только точная диагностика и интервенционное ультразвуковое исследование, Resona R9 — ваш ключ к новому прорыву.
Функции УЗИ аппарата Mindray Resona R9:
iClear
Функция используется для усиления и более четкого представления границ изображения в результате снижения шумов. Алгоритм подавления шума и артефактов от компании Mindray — iClear работает в 3D/4D режимах.
На изображении плечевой сустав: 1- Более подробная информация о мышцах; 2- Лучшее определение сухожильных волокон.
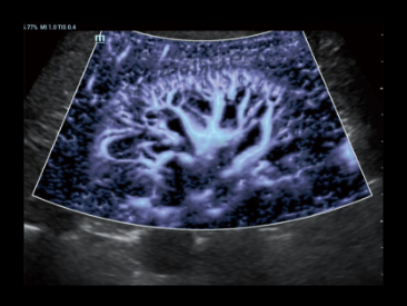
Glazing Flow
Совершенно новый способ продемонстрировать 2D цвет/мощность, инновационный доплеровский поток в 3D- визуализации.
Glazing Flow обеспечивает четкую визуализацию структуры дугообразной артерии и малой междольковой артерии с трехмерным изображением.
ZST+
Технология зонного сканирования.
iFusion
Технология совмещения диагностических изображений, разработанная Mindray, с уникальным алгоритмом компенсации изменений, вызванных механикой дыхания. iFusion нового поколения с компенсацией дыхания обеспечивает отличные клинические показатели и превосходную эргономику использования, поддерживает различные ультразвуковые режимы и широкий спектр целевых маркеров для удобной, высокоточной и безопасной навигации. iFusion обеспечивает значительно большую диагностическую уверенность, высокоточную навигацию при интервенционных вмешательствах, а также своевременную и эффективную послеоперационную оценку лечения.
V-Flow
Векторный анализ кровотока в сосудах — это подход к оценке сосудистой гемодинамики, используя цветовой векторный анализ скорости движения и направления в каждой точке кровотока.
Особенности Mindray Resona R9
- широкий выбор УЗ датчиков (28 моделей)
- продвинутые технологии для уверенной диагностики и исследований: HiFR CEUS, STE с высокой частотой кадров, uHIT, iFusion, V Flow
- высокоэффективные и точные интеллектуальные технологии: Smart Breast, Smart HR
- ЖК монитор 23,8″ или 21,5″ высокого разрешения с широким углом обзора
- командный сенсорный антибликовый ЖК-экран 13,3″ с функцией управления жестами и разрешением 1920×1080 точек
- бесшумная работа аппарата (26 дБ)
- панель управления, перемещаемая в шести направлениях и имеющая возможность электронной регулировки высоты
- автономное электропитание до 24 часов в режиме ожидания
- бесштырьковые коннекторы для датчиков (5 шт. из них 4 активные)
- жесткий диск (120 Гб SSD и 1Тб HDD)



