УЛЬТРАЗВУКОВАЯ СИСТЕМА VET-MR: Специализированная ветеринарная МРТ на месте
Добро пожаловать в мир Vet-MR
Обладая более чем двадцатилетним опытом в сфере МРТ, Esaote, ведущая международная корпорация диагностической визуализации, представляет Vet-MR – систему МРТ, специально разработанную для проведения высококачественной диагностики в сфере ветеринарии.
Почему VET-MR
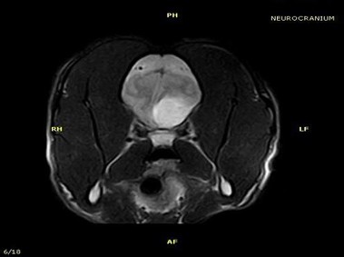
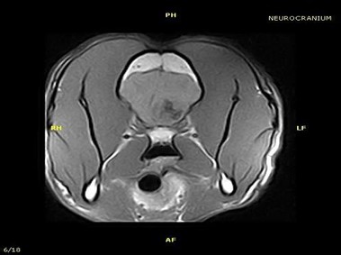
В настоящее время МРТ является наиболее предпочтительным методом визуализации любых мягких тканей, особенно для визуализации травм и патологий центральной нервной системы и суставов. Особенности Vet-MR позволяют использовать данный метод визуализации также в сфере ветеринарии.
Инновации в визуализации домашних животных
Vet-MR специально разработана для визуализации небольших животных и является результатом внимания к деталям при разработке магнита, катушки и электронных компонентов, обеспечивая высокое качество экономически эффективной и простой в использовании МРТ в сфере ветеринарии.
Амбулаторная ветеринарная система МРТ
Преимущество системы Vet-MR заключается в удобстве полностью настроенной системы на рабочем месте. Благодаря системе Vet-MR больше нет необходимости полагаться на внешних поставщиков МР-оборудования, что позволяет улучшить свой рабочий процесс и предоставить своим клиентам отличные диагностические возможности и последующее наблюдение в соответствии с потребностями животного. Сканер Vet-MR можно с легкостью установить в маленьком помещении благодаря специально сконструированной экранированной камере, что позволяет Vet-MR служить в качестве амбулаторного МРТ-сканера.
ОБСЛУЖИВАНИЕ СВОБОДНО-ОТКРЫТОГО ПОСТОЯННОГО МАГНИТА
- Поле 0,2 тесла
- Запатентованная радиочастотная защита излучения
- Можно использовать со стандартным доступным оборудованием для анестезии
- Большой выбор средств для визуализации изображения, анализа и обработки
- Высокотехнологические функциональные возможности хранения, особенно полезные для систем, подключенных к сети PACS
- Полное сетевое взаимодействие с DICOM
ДОПОЛНИТЕЛЬНЫЕ ХАРАКТЕРИСТИКИ
- Амбулаторная МРТ система полностью адаптирована к ветеринарным потребностям
- Открытая конструкция и специально разработанная кровать для пациента
- Полный набор специальных оптимизированных катушек
- Высокое качество изображения
- Специальное программное обеспечение, полный набор предварительно установленных последовательностей и протоколов для ветеринарных целей
- Настроенные под пользователя протоколы обследований для специальных клинических потребностей
- Пользовательский интерфейс на базе операционной системы Windows, разработанный с учетом среды «Vet», использующей терминологию «Vet»
- Многоплоскостное предварительное сканирование
- Средство визуализации в режиме реального времени для быстрого позиционирования животного
ВЗАИМОДЕЙСТВИЕ
Vet-MR полностью соответствует стандарту DICOM и предлагает умные решения в отношении подключения и телерадиологии, предусматривая стандартные классы согласно Dicom:
- Хранение – отправка/получение передачи изображений к другим устройствам (рабочим станциям, PACS). Кроме того включение функции «AutoSend» (также называемой «Autopush») позволяет системе Vet-MR автоматически отправлять все изображения в выбранное место без необходимости взаимодействия со стороны оператора.
- Обмен в среде передачи данных: Архивация изображений на съемных носителях (MOD или Cdrom), в модальности DicomDir.
- Управление печатью: Возможность использования принтеров DICOM.
- Список методов: Система Vet-MR получает список пациентов за день непосредственно из HIS/RIS (информационной системы больницы/рентгенологической информационной системы) клиники/больницы.



