Hepatus 6 — это ультразвуковая система для диагностики заболеваний печени, которая является профессиональной, неинвазивной и обеспечивает количественный результат для определения стадии фиброза печени. В аппарате воплощен метод транзиентной эластографии (сдвиговой волны), что позволяет диагностике быть точной, эффективной, надежной, а главное удобной в использовании, представляя новую эру в неинвазивной диагностике заболеваний печени.
Новая эра неинвазивной диагностики заболеваний печени
Hepatus - это профессиональная неинвазивная система диагностики заболеваний печени, обеспечивающая количественный результат для определения стадии фиброза печени. Она точна, эффективна, надежна и удобна для наблюдения за заболеванием.
Количественный анализ ригидности печени Обеспечивает количественное определение жесткости печени и стадии фиброза печени с помощью технологии переходной эластографии
Количественный анализ стеатоза печени Количественная оцененка тяжести стеатоза печени с помощью технологии LiSA (поглощения ультразвука в печени).
Широкий спектр клинических применений
Hepatus 6 применим для скрининга, диагностики, мониторинга и оценки лечения фиброза печени и стеатоза, вызванных различными причинами. Особенно на ранней стадии.
- Неалкогольная жировая болезнь печени
- Алкогольная болезнь печени
- Хронический гепатит В
- Хронический гепатит С
- Лекарственное повреждение печени
- Аутоиммунные заболевания печени
- Заболевания желчевыводящих путей
Транзиторная эластография является рекомендуемым методом обследования при хронических заболеваниях печени
![]() |
![]() |
![]() |
![]() |
|
Неинвазивный метод Доступная биопсия печени, сниженный риск биопсии, простое и быстрое, безопасное и экономичное обследование. |
Количественный Количественное выявление и оценка тяжести фиброза и стеатоза печени, широко рекомендованные глобальными руководящими принципами по болезням печени, со зрелыми и надежными диагностическими критериями. |
Чувствительная и точная Высокая чувствительность к фиброзу печени и стеатозу на ранней стадии с высокой точностью обнаружения, способствующая раннему скринингу, диагностике, лечению и реабилитации заболеваний печени. |
Простое наблюдение Врачам удобно отслеживать результаты одного и того же пациента в разное время, что позволяет отслеживать заболевания и оценивать лечение. |
Advanced ViTE (визуализированная транзиторная эластография)
- Проводить количественное выявление и оценку фиброза и стеатоза печени под визуальным контролем 2D-ультразвука в режиме реального времени
- Позволяет избежать образования кровеносных сосудов и повреждений, повысить точность и достоверность измерения
- Значительно снижает сложность операции, повышает точность и повторяемость количественных измерений
Конструкция интегрированного зонда
- Технология сверхширокополосных частот охватывает всех пациентов разного возраста и формы тела
- Один зонд для визуального наведения ультразвука и количественного определения, нет необходимости переключать зонды во время сканирования
- Процесс сбора данных может быть выполнен с помощью одной встроенной кнопки
Быстрое интеллектуальное получение данных Q-сканирования
- Нажатием одной кнопки можно автоматически и непрерывно получать 10 групп эффективных данных и проводить интеллектуальный анализ
- Точные и достоверные результаты обнаружения могут быть получены немедленно, всего через 7 секунд после позиционирования
Надежный показатель контроля качества
- Индекс давления (P): качественный контроль давления зонда
- Индекс стабильности движения (m-STB): обеспечивает стабильность дыхания
- Четкая индикация с другим цветом для улучшения контроля качества во время обследования
Нарушение дыхательных движений; слишком низкое давление Prboe
Состояние дыхания стабильное; Давление зонда слишком высокое
Дыхательная система стабильна; Давление зонда соответствующееРазличные ультразвуковые решения
- Профессиональный ультразвуковой зонд для облегчения исследования асцита и т.д.
- Специальная пункция под ультразвуковым контролем для повышения точности биопсии
- Превосходное ультразвуковое изображение и функциональность позволяют всесторонне оценить морфологию и гемодинамику печени.
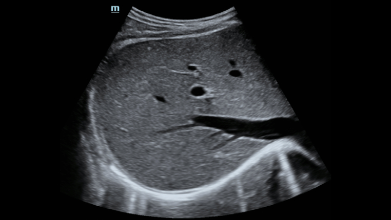
Пункция печени под контролем ультразвука
Асцит печени
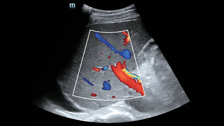
Оценка портальной гемодинамики
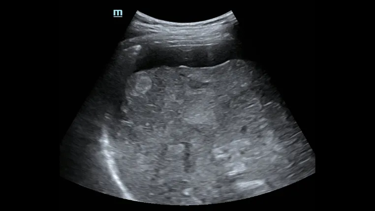
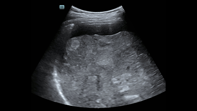
Оценка морфологии печениЭргономичный дизайн








